תחומי טיפול

מרפאת ד"ר רון מציעה קשת רחבה של פתרונות טיפוליים איכותיים, החל מטיפולים קטנים ופשוטים ועד לתוכניות שיקום מורכבות; שתלים, שיקום על שתלים, הרמת סינוס, כירורגיה מורכבת וטיפול בהרדמה מלאה במידת הצורך. בנוסף, אנו מציעים מגוון טיפולים בתחום האסטטיקה ברפואת שיניים.

בזכות המומחיות בשיקום הפה, ד"ר רון עוסק בטיפולים שיקומיים מורכבים, מתן חוות דעת וייעוץ למטופלים לפני טיפולי שיניים (second opinion), וחוות דעת משפטית.

המרפאה מאובזרת במיטב הציוד הרפואי, משתמשת בחומרים דנטליים תיקניים ואיכותיים וכמובן – לא פחות חשוב, נעזרת בתמיכה של מיטב המעבדות והטכנאים, שגם הם חלק חשוב בהצלחת הטיפול.

אסתטיקה דנטלית

הלבנת שיניים

מהי הלבנת שיניים?

הלבנת שיניים היא פרוצדורה של הבהרת צבע השן (על-ידי פעולת חימצון) ואינה פוגעת בחומר השן.

מקרה 1:

לפני ואחרי הלבנת שיניים

לפני ואחרי הלבנת שיניים

עם העליה בגיל חלה התכהות של צבע השיניים. על ידי הלבנת שיניים ניתן להגיע לתוצאות אסתטיות יותר.

מקרה 2:

הלבנת שן שהשחירה לאחר טיפול שורש

לפני ואחרי הלבנת שיניים

הלבנת שן שהשחירה לאחר טיפול שורש

ציפויי חרסינה - Porcelain laminates

מהם ציפויי חרסינה?

ציפויי חרסינה הן חזיתיות מחרסינה שמודבקות על פני שטח השן במטרה לתת צורה, גודל וצבע חדשים.

לפני ואחרי ציפויי חרסינה

לפני ואחרי ציפויי חרסינה

מטופל בוגר הגיע עם מרווח בין השיניים הקדמיות שלא מצא חן בעיניו מבחינה אסתטית. סגירת המרווח התבצעה באמצעות ציפויי חרסינה (laminates).

שיקום על ידי כתרים

מהו שיקום באמצעות כתרים?

שיקום באמצעות כתרים הוא טיפול של שחזור השיניים שנהרסו (בגלל עששת או טראומה – שברים) על ידי כיסויים עשויים חרסינה סביב כל השן. ישנם סוגים שונים של כתרים.

מקרה 1:

כתרי חרסינה קדמיים על מתכת

כתרי חרסינה קדמיים על מתכת

מטופלת שהגיעה עם כתרים ישנים ושבורים, עם חורים בצידם. טופלה על-ידי כתרי חרסינה מאוחה למתכת אצילה.

מקרה 2:

כתרי חרסינה קדמיים על מתכת אצילה

כתרי חרסינה קדמיים על מתכת אצילה

מקרה 3:

כתרי חרסינה קדמיים ללא מתכת (זירקוניה)

כתרי חרסינה קדמיים ללא מתכת (זירקוניה)

המטופל הגיע עם שתי שיניים קדמיות הרוסות כתוצאה מעששת (ריקבון). עבר טיפולי שורש ושיקום באמצעות כתרי חרסינה ללא מתכת (all ceram – zirconia).

מקרה 4:

שיקום באמצעות כתרים קדמיים - לפני ואחרי

שיקום באמצעות כתרים קדמיים - לפני ואחרי

מקרה 5:

שיקום באמצעות כתרים (כתרים קדמיים) - לפני ואחרי

שיקום באמצעות כתרים קדמיים ללא מתכת - זרקוניה

מקרה 6:

סוף טיפול עם כתרי זירקוניה קדמיים

סוף טיפול עם כתרי זירקוניה קדמיים

יישור שיניים למבוגרים

במה שונה יישור שיניים למבוגרים מיישור שיניים לילדים?

אצל מבוגרים, בדרך-כלל השיניים זזות ממקומן עקב מחלת חניכיים, ואז נפתחים רווחים בין השיניים. כדי לשקם את מנגנון הלעיסה יש צורך להחזיר את השיניים שזזו למקומן הראשוני ורק אז לקבע אותן בצורה איתנה, באמצעות שיקום סופי.

מקרה 1:

יישור שיניים למבוגרים

יישור שיניים למבוגרים

מטופלת שסובלת ממחלת חניכיים נרחבת, שמתבטאת בפתיחת מרווחים גדולים בשיניים הקדמיות. לאחר טיפול חניכיים ויישור שיניים לסגירת המרווח נעשה קיבוע שיחזיק לאורך שנים.

טיפול בשיניים שחוקות

שיקום משנן שחוק והרמת מנשך

איך משקמים ומעצבים שיניים אסטטיות ופונקציונליות כאשר אין מספיק מקום  בין הלסתות?

נפתחו רווחים בין השיניים וזה נראה מכוער ? יש לכם שיניים שחוקות ובקושי רואים אותן ? השיניים זזו ממקומן ותפסו מקום של שיניים חסרות ואין מקום בפה לבנות שיניים חדשות אסטטיות ופונקציונליות ? רופא השיניים אליו פניתם לא הצליח לפתור את הבעיה ?

אלו בעיות נפוצות וקשות לטיפול, בשיקום הפה .

במקרים הללו יש צורך  בטיפולים משקמים נרחבים הכוללים שיקום שתלים דנטאליים ושיקום שיניים טביעות  עם מעורבות של מחלת חניכיים , שחיקת שיניים ואבדן מקום  סיגרי בין לסתי אשר לא מאפשר שיחזור ושיקום שיניים חסרות  , מצב שבו הרבה מאד רופאים  לא מצליחים לטפל  , כך שתתקבל תוצאה אסטטית יפה ומתפקדת .

איך ניתן לבצע  שיקום שיניים ושתלים כאשר אין מספיק מקום בין הלסתות ויש קושי לבנות שיניים חדשות גם אסטטיות וגם פונקציונאליות במקום אלו שחסרות .

במצבים של מחלת חניכיים מתקדמת  יש נטייה לשיניים הקדמיות העליונות  לזוז לכוון החוצה ולפתוח רווח ביניהן. הדבר מפריע מאד אסטטית , נראה מכוער ומפריע תפקודית , בקושי אפשר לנגוס ואף נוצרת חוסר נעימות בגלל בריחת רוק . אם רוצים לשקם השיניים הללו כדי שיראו יותר יפה ויתפקדו יותר טוב – לא ניתן כי אין מספיק רווח בין לסת עליונה ותחתונה לעשות כן.

גם במצבים של שיניים שחוקות וקצרות , אין מספיק מקום בין הלסתות כדי לשחזר שיניים חדשות ואסטטיות .

אם הולכים הרבה זמן ללא חלק מהשיניים בפה , אזי השיניים הנותרות זזות לעבר האזורים שהם מחוסרי שיניים ותופסים את מקומם .  במקרה כזה , כאשר נרצה לשחזר את השיניים החסרות , לא יהיה מקום כי הוא נתפס .

מה עושים כדי לפתור את הבעיה ??  יש כאן צורך לעשות מה שנקרא "הרמת מנשך" שזה בעצם שינוי בצורת הסגירה בין הלסת העליונה והתחתונה תוך פתיחה ויצירת  מקום לעצוב שיניים חדשות , אסטטיות ומתפקדות  ולא קטנות  מידי .  

במקרים נוספים צריך גם לעשות יישור שיניים כדי להחזיר השיניים שזזו למקום וכך לפתוח מרווח לשיקום  שיניים חדשות במקום אלו שחסרות . לפעמים צריך לערב גם ניתוחי חניכיים ואף ניתוחים של הלסת עצמה להשגת תוצאה ראויה  ורצויה .

גם שיניים שחוקות צריך לכסות ולשקם כדי להפסיק את המשך הנזק של השחיקה .  גם כאן צריך ליצור מקום נוסף בין הלסתות על ידי "הרמת מנשך ".

"הרמת מנשך " או יותר נכון – יצירת יחסי סגירה חדשים בין הלסת העליונה והתחתונה צריכים להיעשות במקרים המתאימים,  תוך ידיעה , שליטה  והקפדה על כללי הסגר והאסתטיקה הדנטאלית המתאימים למטופל  ועל ידי רופא מיומן בביצוע פרוצדורות כאלו , מומחה בשיקום הפה  .  

מקרה 1:

טיפול במשנן שחוק לפני ואחרי

טיפול במשנן שחוק לפני ואחרי

טיפול במשנן שחוק לפני ואחרי

מקרה 2:

טיפול במשנן שחוק לפני ואחרי

טיפול במשנן שחוק לפני ואחרי

הרמת מנשך

טיפול במשנן שחוק והגדלה של מימד אנכי סגרי ("הרמת מנשך")

ככל שתוחלת החיים עולה והאוכלוסייה שומרת יותר ויותר על המשנן הטבעי, אנו, רופאי השיניים  נתקלים ביותר מטופלים עם משנן שחוק, מסיבות שונות.

צורות השחיקה הקיימות והנפוצות הן : 

attrition , abrasion , erosion & abfraction

הסיבות לשחיקה הן גם מכאניותציחצוח אגרסיבי, הידוק ושחיקת שיניים  וגם כימיותכגון אוכל חומצי, הקאות, בולמיה, אנורקסיה  וכו' 

המטופלים פונים לטיפול במקרים בהם מתחילה אי נוחות, כאבים, הפרעה אסתטית וקושי תפקודי בלעיסה ואף התחלה של הרס והתפרקות של השיניים והשחזורים הקיימים בפה.   

גם התפתחות מודעות דנטאלית וחשש לגורל העתידי של המשנן, מביאה מטופלים לבקש התערבות  טיפולית. 

הטיפול במשנן השחוק מלווה בהתלבטויות של המטופלים וכן של המטפלים, מתי להתחיל בטיפול ?? ואיזה סוג של טיפול לבחור ?? שמרני ?? אינבאזיבי ?? או משולב ??

סוגיית הטיפול במימד האנכי הסגרי אשר איבד מגודלו המקורי עקב שחיקה, היא סוגיה קשה לטיפול, ברוב המקרים.

טיפול במשנן שחוק לפני ואחרי

טיפול במשנן שחוק לפני ואחרי

טיפול במשנן שחוק לפני ואחרי

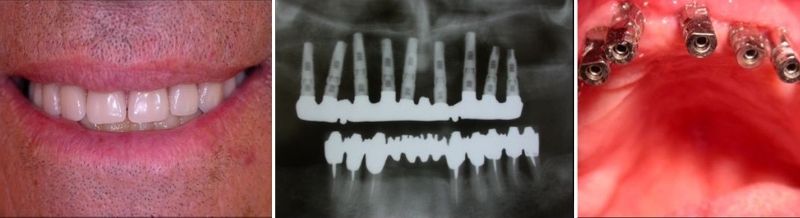
שתלים דנטאליים

מהם שתלים דנטליים?

שתלים דנטליים הם "ברגים" שעשויים מטיטניום, דמויי שורש שן, אשר מוכנסים לעצם הלסת במטרה לשמש אחיזה לשיניים המלאכותיות החדשות. מטרת השתלים היא להחליף את השורשים של השיניים, אשר כבר אינם בפה. על השתלים אפשר לבנות שיניים קבועות או שיניים תותבות.

שתלים דנטאליים

תותבות על השתלים

במה תותבות על שתלים שונות מתותבות "רגילות"?

בעיה הנפוצה אצל לובשי תותבות רגילות היא גודל התותבת והעובדה שהתותבת "זזה" מעט בתוך הפה בזמן תפקוד – בגלל שהתותבת מונחת על החניכיים ואין לה במה "להיתפס". כאשר משלבים שתלים בטיפול אפשר לקשור את התותבת לשתלים. עובדה זו תגרום לכך שהתותבת תהיה מאוד יציבה (לא תזוז) ואפשר להקטין את מימדיה.

תותבות רגילות
תותבות על שתלים

הטיפול

מקרה 1:

שתלים ותותבות על שתלים

שתלים ותותבות על שתלים

מקרה 2:

תותבות על שתלים עם מחברים כדוריים או לוקייטורים

תותבות על שתלים עם מחברים כדוריים או לוקייטורים

מקרה 3:

תותבות על שתלים

תותבות על שתלים

מקרה 4:

שתלים ותותבות על שתלים

צילום של בר

בר שתומך בתותבת נתמכת שתלים

שיקום מורכב

מהו תחום השיקום ומיהו מומחה בשיקום הפה?

בדומה לתחום הרפואה, בו קיימים מומחים בענפים השונים (רופא עיניים, אורטופד, קרדיולוג..) גם ברפואת השיניים קיימים תחומי התמחות: שיקום הפה, יישור שיניים, טיפולי שורש ועוד.

שיקום הפה הוא תחום העוסק בשחזור שיניים לשיפור תפקוד ואסתטיקה, החל בטיפולים פשוטים (סתימות, כתרים, הלבנת שיניים וכו'), ועד לטיפולים מורכבים: השלמת חסר שיניים, שחיקת שיניים, בעיות סגר באמצעות גשרים, תותבות, השתלות ועוד.

המומחה בשיקום הפה הוא הסמכות המקצועית המובילה את הטיפול הדנטלי, היות ובמהלך התמחותו עבר הכשרה גם בתחומי התמחות נוספים ברפואת שיניים. המומחה בשיקום הפה הוכשר כ"רופא שיניים כללי" (בתום 6 שנות לימוד), והמשיך בלימודים אקדמאיים במסגרת התמחות למשך 4.5 שנים נוספות – עד לקבלת תעודת מומחה בשיקום הפה מטעם משרד הבריאות.

ייחודו של המומחה בשיקום הפה, לעומת רופא שיניים כללי, הוא יכולת אבחון, תכנון הטיפול וביצועו באיכות הגבוהה ביותר, תוך דגש על נוחות תפקוד ואסתטיקה. המומחה בשיקום הפה מחויב למצוינות והתעדכנות מתמדת בתחום התמחותו ובתחומים נוספים ברפואת שיניים. מומלץ לקבל חוות דעת של מומחה בשיקום הפה לפני כל טיפול דנטלי מורכב.

מהו שיקום שיניים מורכב?

שיקום מורכב הוא טיפול דנטלי הבא לפתור שילוב של בעיות כגון: אסתטיקה, תפקוד לקוי, מחלת חניכיים מתקדמת, שחיקת שיניים ואובדן שיניים.

מקרה 1:

שיקום מורכב

שיקום מורכב

שיקום השיניים הקדמיות יתבצע באמצעות כתרי חרסינה (ללא מתכת) - זירקוניה, והשיניים הצדדיות באמצעות ציפויים מחרסינה.

שיקום מורכב לפני ואחרי

שיקום מורכב לפני ואחרי

בחור צעיר ששבר את השיניים הקדמיות ועבר טיפולי שורש. שיקום השיניים הקדמיות התבצע באמצעות כתרי חרסינה (ללא מתכת) - זירקוניה, ושיקום השיניים הצדדיות באמצעות ציפויים מחרסינה.

מקרה 2:

שיקום אסתטי של שיניים קידמיות על ידי שתלים - לפני

שיקום אסתטי של שיניים קידמיות על ידי שתלים - לפני

שיקום אסתטי של שיניים קידמיות על ידי שתלים - אחרי

שיקום אסתטי של שיניים קידמיות על ידי שתלים - אחרי

Call Now Button